phone-svg

Invisalign® is an advanced clear aligner system to straighten your teeth

Straighten your teeth with a metal-free and invisible set of aligners that gives you the freedom to eat whatever you like during treatment.

Invisalign® is the revolutionary system that allows just that.

invisalign thumb

Invisalign®

  • Clear, virtually invisible
  • Smooth and comfortable
  • Removable & easy to clean
  • Eat anything you want
invisalign thumb

Traditional Braces

  • Wires and brackets
  • Can decorate with colours
  • Colours can be changed at every visit
  • Non removable
VS

The benefits of Invisalign®

  • The aligners are practically invisible (made from transparent, recyclable plastic).
  • Custom-made for your teeth and, therefore, easy to get used to.
  • Over 17 million cases performed worldwide since 2000.
  • See a simulation of your new smile from the start, thanks to innovative 3D scanning technology.
  • Fewer appointments are needed compared to fixed braces.
  • Take your aligners out to eat, drink and brush.

How does Invisalign® work?

Invisalign® is a series of custom-made aligners. These aligners are worn in a sequence, with each new aligner moving your teeth into a pre-planned position. Once all of the aligners in the sequence have been worn (they are swapped over every 2 weeks), you will then need to wear a retainer at night to prevent your teeth from moving back out of place.

Every 6 weeks, your dentist will check your teeth over to make sure they are moving into the correct positions.

Lifestyle-orientated treatment
why our patients love Invisalign®

One of the main reasons our patients love Invisalign® is the lifestyle freedom the treatment affords them. Not only do Invisalign® aligners pose minimal alteration to the way your teeth look (since they are transparent aligners), but you can simply remove them each time you need to eat and brush.

The benefits of Invisalign®

  • The aligners are practically invisible (made from transparent, recyclable plastic).
  • Custom-made for your teeth and, therefore, easy to get used to.
  • Over 17 million cases performed worldwide since 2000.
  • See a simulation of your new smile from the start, thanks to innovative 3D scanning technology.
  • Fewer appointments are needed compared to fixed braces.
  • Take your aligners out to eat, drink and brush.

How does Invisalign® work?

Invisalign® is a series of custom-made aligners. These aligners are worn in a sequence, with each new aligner moving your teeth into a pre-planned position. Once all of the aligners in the sequence have been worn (they are swapped over every 2 weeks), you will then need to wear a retainer at night to prevent your teeth from moving back out of place.

Every 6 weeks, your dentist will check your teeth over to make sure they are moving into the correct positions.

Lifestyle-orientated treatment
why our patients love Invisalign®

One of the main reasons our patients love Invisalign® is the lifestyle freedom the treatment affords them. Not only do Invisalign® aligners pose minimal alteration to the way your teeth look (since they are transparent aligners), but you can simply remove them each time you need to eat and brush.

Online Consultation right white plain arrow right colossus plain arrow

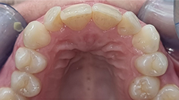
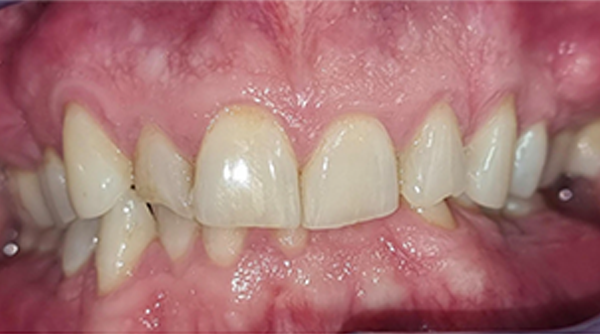
Smile Gallery

Before - The Beresford Dental Clinic BEFORE
After - The Beresford Dental Clinic AFTER
Before - The Beresford Dental Clinic BEFORE
After - The Beresford Dental Clinic AFTER
Before - The Beresford Dental Clinic BEFORE
After - The Beresford Dental Clinic AFTER
Before - The Beresford Dental Clinic BEFORE
After - The Beresford Dental Clinic AFTER
Before - The Beresford Dental Clinic BEFORE
After - The Beresford Dental Clinic AFTER
Before - The Beresford Dental Clinic BEFORE
After - The Beresford Dental Clinic AFTER
Before - The Beresford Dental Clinic BEFORE
After - The Beresford Dental Clinic AFTER
Before - The Beresford Dental Clinic BEFORE
After - The Beresford Dental Clinic AFTER
Before - The Beresford Dental Clinic BEFORE
After - The Beresford Dental Clinic AFTER
Before - The Beresford Dental Clinic BEFORE
After - The Beresford Dental Clinic AFTER
Before - The Beresford Dental Clinic BEFORE
After - The Beresford Dental Clinic AFTER
Before - The Beresford Dental Clinic BEFORE
After - The Beresford Dental Clinic AFTER
Before - The Beresford Dental Clinic BEFORE
After - The Beresford Dental Clinic AFTER
Before - The Beresford Dental Clinic BEFORE
After - The Beresford Dental Clinic AFTER
Before - The Beresford Dental Clinic BEFORE
After - The Beresford Dental Clinic AFTER
Before - The Beresford Dental Clinic BEFORE
After - The Beresford Dental Clinic AFTER
Before - The Beresford Dental Clinic BEFORE
After - The Beresford Dental Clinic AFTER
Before - The Beresford Dental Clinic BEFORE
After - The Beresford Dental Clinic AFTER
Before - The Beresford Dental Clinic BEFORE
After - The Beresford Dental Clinic AFTER
Before - The Beresford Dental Clinic BEFORE
After - The Beresford Dental Clinic AFTER
Before - The Beresford Dental Clinic BEFORE
After - The Beresford Dental Clinic AFTER
Before - The Beresford Dental Clinic BEFORE
After - The Beresford Dental Clinic AFTER
Before - The Beresford Dental Clinic BEFORE
After - The Beresford Dental Clinic AFTER
Before - The Beresford Dental Clinic BEFORE
After - The Beresford Dental Clinic AFTER
Before - The Beresford Dental Clinic BEFORE
After - The Beresford Dental Clinic AFTER
Before - The Beresford Dental Clinic BEFORE
After - The Beresford Dental Clinic AFTER
Before - The Beresford Dental Clinic BEFORE
After - The Beresford Dental Clinic AFTER
Before - The Beresford Dental Clinic BEFORE
After - The Beresford Dental Clinic AFTER
Before - The Beresford Dental Clinic BEFORE
After - The Beresford Dental Clinic AFTER
Before - The Beresford Dental Clinic BEFORE
After - The Beresford Dental Clinic AFTER

Smile Gallery

Before - The Beresford Dental Clinic BEFORE
After - The Beresford Dental Clinic AFTER
Before - The Beresford Dental Clinic BEFORE
After - The Beresford Dental Clinic AFTER
Before - The Beresford Dental Clinic BEFORE
After - The Beresford Dental Clinic AFTER
Before - The Beresford Dental Clinic BEFORE
After - The Beresford Dental Clinic AFTER
Before - The Beresford Dental Clinic BEFORE
After - The Beresford Dental Clinic AFTER
Before - The Beresford Dental Clinic BEFORE
After - The Beresford Dental Clinic AFTER
Before - The Beresford Dental Clinic BEFORE
After - The Beresford Dental Clinic AFTER
Before - The Beresford Dental Clinic BEFORE
After - The Beresford Dental Clinic AFTER
Before - The Beresford Dental Clinic BEFORE
After - The Beresford Dental Clinic AFTER
Before - The Beresford Dental Clinic BEFORE
After - The Beresford Dental Clinic AFTER
Before - The Beresford Dental Clinic BEFORE
After - The Beresford Dental Clinic AFTER
Before - The Beresford Dental Clinic BEFORE
After - The Beresford Dental Clinic AFTER
Before - The Beresford Dental Clinic BEFORE
After - The Beresford Dental Clinic AFTER
Before - The Beresford Dental Clinic BEFORE
After - The Beresford Dental Clinic AFTER
Before - The Beresford Dental Clinic BEFORE
After - The Beresford Dental Clinic AFTER
Before - The Beresford Dental Clinic BEFORE
After - The Beresford Dental Clinic AFTER
Before - The Beresford Dental Clinic BEFORE
After - The Beresford Dental Clinic AFTER
Before - The Beresford Dental Clinic BEFORE
After - The Beresford Dental Clinic AFTER
Before - The Beresford Dental Clinic BEFORE
After - The Beresford Dental Clinic AFTER
Before - The Beresford Dental Clinic BEFORE
After - The Beresford Dental Clinic AFTER
Before - The Beresford Dental Clinic BEFORE
After - The Beresford Dental Clinic AFTER
Before - The Beresford Dental Clinic BEFORE
After - The Beresford Dental Clinic AFTER
Before - The Beresford Dental Clinic BEFORE
After - The Beresford Dental Clinic AFTER
Before - The Beresford Dental Clinic BEFORE
After - The Beresford Dental Clinic AFTER
Before - The Beresford Dental Clinic BEFORE
After - The Beresford Dental Clinic AFTER
Before - The Beresford Dental Clinic BEFORE
After - The Beresford Dental Clinic AFTER
Before - The Beresford Dental Clinic BEFORE
After - The Beresford Dental Clinic AFTER
Before - The Beresford Dental Clinic BEFORE
After - The Beresford Dental Clinic AFTER
Before - The Beresford Dental Clinic BEFORE
After - The Beresford Dental Clinic AFTER
Before - The Beresford Dental Clinic BEFORE
After - The Beresford Dental Clinic AFTER

The Beresford Clinc
Platinum Invisalign® Provider

Providers Logo

Five reasons why you should choose us for your Invisalign® treatment

reasons icon

World-class Customer Service

reasons icon

Home Teeth Whitening worth £500, included for FREE

reasons icon

2 Sets of Removable retainers, included for FREE

reasons icon

Beautiful teeth in as little as three months, using safe cosmetic braces

reasons icon

Why wait? Interest free finance available

Online Consultation right white plain arrow right colossus plain arrow

What can Invisalign® fix?

invisalign before after

Crowded teeth

Crowded teeth are a condition where you do not have enough room for your teeth to fit normally. This can cause plaque or tartar and other harmful bacteria to build up as it is harder for you to brush and floss well.

invisalign before after

Gaps between teeth

Gaps between teeth are when there is extra space between two or more of your teeth. This can cause pockets between your teeth and gums, causing food to get stuck and making them tender and sore. This might also lead to gum disease.

invisalign before after

Open bite

An open bite is when your upper and lower teeth don't touch when you close your mouth. An open bite can make it hard for you to chew or difficult to bite even the most common of foods like apples.

invisalign before after

Underbite

An underbite is when you close your mouth, and your lower front teeth are in front of your upper teeth. In many cases, this is actually a problem with your lower jaw being too far forward. An underbite can make it hard to chew properly and speak clearly, and it might cause your teeth to wear down more quickly.

invisalign before after

Overbite

An overbite is when your upper front teeth overlap with your lower front teeth. Most people have at least a little overbite. When your overbite is too large, your dentist might tell you that you have a deep bite. This can cause problems, from your teeth wearing down to pain in your jaw.

invisalign before after

Crossbite

A crossbite is when you close your mouth, and yet some of your upper teeth sit inside your lower teeth rather than on the outside. A crossbite can make your teeth wear down or chip. It can also make your gums start to recede or make little notches above your gum line. This kind of damage can lead to painful gum problems or even bone loss.

Online Consultation right white plain arrow right colossus plain arrow

Cost of Invisalign® Clear Braces

Affordable Invisalign® treatment

Many people worry about the cost of Invisalign® braces, and so we have devised a number of payment plans to help you afford the right treatment with Invisalign®.

Learn More right colossus plain arrow right white plain arrow

Invisalign®

from £ 4500
  • Free Home Whitening worth £500
  • Interest-free Finance Available
  • 2 sets of Removable Retainers
Book Now right white plain arrow right colossus plain arrow

Free virtual 3D scan

We can create a 3D image of your teeth in just minutes using an iTero scanner, a leading digital scanner from the makers of Invisalign® clear aligners.

Scan Image
Itro Image

FAQs

1. Will Invisalign® affect my speech?

It’s completely normal to experience some very minor speech changes in the first few days of wearing your first aligners, such as a lisp.

You will find you acclimatise within a matter of days, with your speech returning to normal.

2. Are Invisalign® aligners comfortable?

One of the main design facets of Invisalign® aligners is their comfort.

The aligners are made from transparent polycrystalline alumina, a clear BPA-free plastic with smooth curves and grooves.
This is custom-shaped using digital impressions of your teeth, and no metal wires or brackets are included in the design (these can be obtrusive for many patients).

3. How many hours a day do I need to wear my aligners?

To maximise the results of treatment and finish within the projected time, you should be wearing your aligners for 20-22 hours a day.

This gives you a substantial window in which to eat and brush each day.

4. Why choose The Beresford Dental Clinic for Invisalign® treatment?

As Platinum Invisalign Providers, we have the highest level of experience and expertise in providing Invisalign treatment.

The designation is awarded by Align Technology, the company behind the innovation of Invisalign.

Online Consultation right white plain arrow right colossus plain arrow

Contact

Get in touch

Book a free consultation

Take the first step toward a healthier smile. Schedule your free consultation with The Beresford Dental Clinic!

book a free consultation right white plain arrow right white plain arrow
Before - The Beresford Dental Clinic

Before

After - The Beresford Dental Clinic

After

testimonials

What our patients say

star colossus plain icon

“As my dentist is overseas went to see these guys last week for a broken filling professional team managed to book me in straight away....”

Maria Designato

Explore right white plain arrow right colossus plain arrow
star colossus plain icon

“I heard about Beresford Clinic from my neighbour around 3 years ago and I have been going there since. The clinic is so thorough and...”

Huma Kabakci

Explore right white plain arrow right colossus plain arrow
star colossus plain icon

“My entire family has been a patient at The Beresford Dental Clinic for 10+ years. We couldn’t be more pleased with Dr. Beresford and his...”

Sarah Blank

Explore right white plain arrow right colossus plain arrow
star colossus plain icon

“Dr Beresford is an incredible dentist! I and my family have known him for 30 years, he is fantastic with children, and teens. He explains...”

Julia Embiricos

Explore right white plain arrow right colossus plain arrow
star colossus plain icon

“Excellent veneer repair. A big piece of my veneer chipped off and I had it repaired. It looks as good as new and should last...”

Lena Zina MB

Explore right white plain arrow right colossus plain arrow
star colossus plain icon

“I have attended The Beresford Dental Clinic over many years for regular dental and hygienist visits, my latest to receive a tooth implant. Dental visits...”

Julian Foulkes

Explore right white plain arrow right colossus plain arrow
star colossus plain icon

“Fantastic practice which got me back on track after years of neglect of dental care following previous negative experiences elsewhere and going back to my...”

David Russell

Explore right white plain arrow right colossus plain arrow
star colossus plain icon

“Great practice with amazing professionals with loads of knowledge and attention to patient care. From the initial dental checkup to the straightening of my teeth,...”

Nuno Vilela

Explore right white plain arrow right colossus plain arrow
star colossus plain icon

“Had to pop on for an emergency, and was in quite a lot of pain. The service was exceptional, everyone was very nice even with...”

Colin Farley

Explore right white plain arrow right colossus plain arrow
star colossus plain icon

“A first-class dentistry practice with excellent care. The staff are a delight and always attentive and efficient. I have been a patient for about 30...”

Tim Pain

Explore right white plain arrow right colossus plain arrow

social media

Follow us on Instagram

View our Instagram right white plain arrow right colossus plain arrow

Our partners

Subscribe to our latest news

Google Rating
4.9
Google Rating
Google-review